Аппендэктомия – одно из наиболее распространенных хирургических вмешательств, осложнением которого может стать аппендицит культи червеобразного отростка. Он возникает с примерной частотой 1:50 000 случаев из-за неполной резекции аппендикса, чаще после лапароскопических операций.
Клиническая диагностика может быть затруднена, так как у большинства пациентов наблюдаются симптомы, напоминающие острый аппендицит. Более того, воспаление культи может развиться через несколько месяцев или даже лет после операции. В журнале Case Report in Surgery был описан случай аппендицита культи червеобразного отростка у молодого пациентам спустя 11 дней после открытой аппендэктомии.
Описание клинического случая
Пациент 17 лет поступил в отделение неотложной помощи с жалобами на боль в животе, длящуюся в течение 2-х дней. По словам пациента, вначале боль имела эпизодический и локализованный характер, затем стала постоянной и разлитой. Также пациент жаловался на тошноту и рвоту. 11 дней назад ему была проведена открытая аппендэктомия. Внешне были заметны признаки усталости и обезвоживания, температура тела составила 40°C. Осмотр живота выявил мягкую и дряблую брюшную стенку с болезненностью в месте операции. Лабораторные данные при поступлении: гемоглобин 10,1 г/дл; общее количество лейкоцитов 9500 в мм3 (89% нейтрофилов).
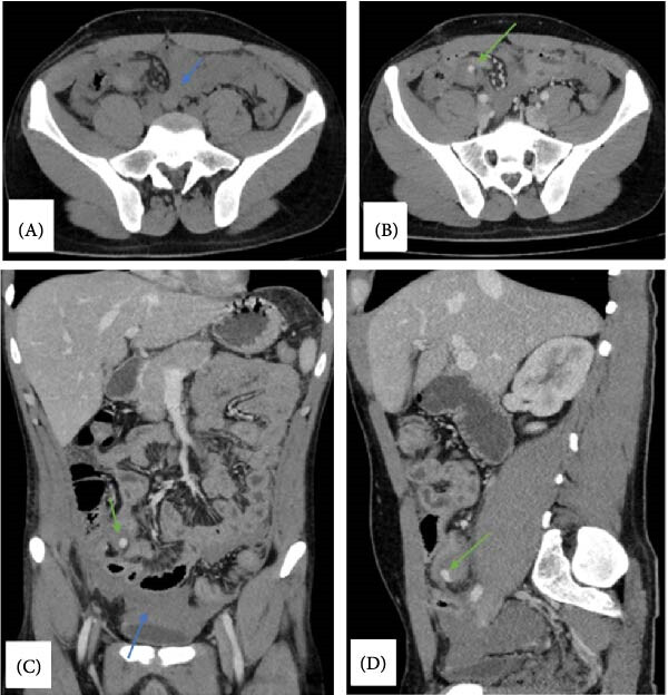
УЗИ брюшной полости показало диффузное увеличение толщины стенки тонкой кишки, преимущественно в области правого квадранта, значительное повышение эхогенности жировой ткани и наличие свободной жидкости в малом тазу с гиперэхогенными включениями. Также в стенке терминального отдела подвздошной кишки был выявлен небольшой участок гиперэхогенности. КТ брюшной полости и таза с контрастированием показала гемоперитонеум с экстравазацией в месте аппендэктомии (рис. 1).
Рисунок 1. КТ-снимки брюшной полости в аксиальной (A, B), коронарной (C) и сагиттальной (D) плоскостях, показывающие умеренное количество свободной жидкости (гемоперитонеум), преимущественно в правой подвздошной ямке (синяя стрелка); также в месте удаленной культи аппендикса отмечена очаги гиперинтенсивного сигнала, которые могут указывать на перитонеальное кровотечение (зеленая стрелка).
Во время диагностической лапаротомии были обнаружены околоободочно-кишечные борозды, заполненные гнойным экссудатом. Мобилизация слепой и восходящей ободочной кишки позволила выявить область, заполненную кровью, где впоследствии была найдена культя аппендикса (рис. 2А, В). Гнойный экссудат был удален, а оставшаяся ткань аппендикса резецирована.
Рисунок 2. (A, B) Интраоперационные снимки, на которых заметен гемоперитонеум и множественные спайки в правой подвздошной ямке.
Послеоперационное восстановление прошло без осложнений, пациент был выписан на 3-й день в стабильном состоянии.
Выводы авторов
Аппендицит культи представляет собой сложную диагностическую задачу из-за низкой распространенности и особенности клинических проявлений. Определенную роль играет убежденность в профилактической значимости удаления аппендикса, в связи с чем рецидив аппендицита обычно не рассматривается в качестве причины боли в животе у пациентов после аппендэктомии.
У пациента были симптомы, которые могли маскироваться под послеоперационные осложнения: генерализованная боль в животе, которая вначале имела локальный характер, высокая температура и усиление боли в месте операции. Анамнез недавней аппендэктомии мог осложнить диагностику, так как аппендицит культи обычно развивается через несколько месяцев или лет после операции. Аналогично, УЗИ и КТ показали признаки воспаления, возможно, инфекционной природы (утолщение стенок тонкой кишки, повышение эхогенности, наличие свободной жидкости и гемоперитонеума). Вместе с этим, повышение уровня нейтрофилов и наличие очага гиперэхогенности в терминальном отделе подвздошной кишки могли указывать на воспаление в месте культи аппендикса. Также КТ-признаки экстравазации в зоне операции свидетельствовали о кровотечении и одновременно затрудняли поиск культи. Диагностическая лапаротомия выявила наличие гнойного экссудата и остатки аппендикса, что позволило поставить диагноз аппендицита культи. Послеоперационное гистологическое исследования подтвердило наличие воспаленной ткани аппендикса с трансмуральной инфильтрацией нейтрофилов.
Данный клинический случай подчеркивает важность тщательной резекции аппендикса во время первичной аппендэктомии, а также необходимость повышения осведомленности врачей в отношении риска аппендицита культи, особенно у пациентов с рецидивирующими или персистирующими симптомами после аппендэктомии. Решающее значение имеют раннее распознавание и своевременное хирургическое вмешательство, которые позволяют предотвратить развитие перитонита или абсцесса.
Справочная информация
Аппендицит культи – редкое осложнение, которое характеризуется развитием воспаления остаточной ткани аппендикса после аппендэктомии. Клинически это состояние может напоминать острый аппендицит. Дифференциальная диагностика включает такие заболевания, как болезнь Крона, мезаденит, осложненный дивертикул слепой кишки, эндометриоз, воспалительные заболевания органов малого таза, гастроэнтерит и другие состояния. УЗИ или КТ брюшной полости являются диагностическими методами выбора в большинстве случаев. УЗИ обычно выявляет утолщение культи аппендикса, жидкость в правой подвздошной области и отек слепой кишки, КТ – расширение просвета культи аппендикса, аппендикулярный инфильтрат и абсцесс.
Стандартным методом лечения аппендицита культи является повторная аппендэктомия, в том числе лапароскопическая, независимо от наличии перфорации. При выраженном воспалении и наличии абсцесса необходимо проведение илеоцекэктомии.
Источник: Fasfoos A, Jabareen M, Alhroub W, Hassouneh A, Salhab D, Aldabbas A, Sobeih R, Hamoudah I, Ishnawer I, Sobeih Q. Unexpected Acute-Onset Stump Appendicitis in a Teenager: A Rare Postappendectomy Complication. Case Rep Surg. 2025 Aug 22;2025:3546440. doi: 10.1155/cris/3546440. PMID: 40896452; PMCID: PMC12396917.












